Αυστραλία: Ξέχασε την κάνναβη στη μύτη του για 18 ολόκληρα χρόνια
Λίγο έλειψε για να υποστεί σοβαρό πρόβλημα υγείας ένας Αυστραλός ο οποίος είχε κρυμμένη στη μύτη του για 18 ολόκληρα χρόνια… μικρή ποσότητα κάνναβης.
Ο άνδρας κάποτε συνελήφθη και λίγο πριν για να γλιτώσει έκρυψε την ουσία στη μύτη του. Στη συνέχεια όμως το ξέχασε και έτσι έμεινε 18 χρόνια με αυτή.
Ο Αυστραλός που είναι σήμερα 48 ετών, τελικά συνειδητοποίησε πως κάτι δεν πήγαινε καλά, χάρη στους γιατρούς του Westmead Hospital στο Σίδνεϊ, το οποίο επισκέφτηκε μετά από έντονους πονοκεφάλους.
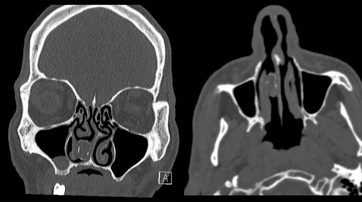
Σύμφωνα με τις εξετάσεις στις οποίες υποβλήθηκε, ένα μικρόβιο είχε προσβάλει την ρινική του κοιλότητα.
Οι γιατροί τελικά αφαίρεσαν την κάνναβη, ενώ ο άνδρας οδηγήθηκε στον Εισαγγελέα για να ανακριθεί.

Κατά την απολογία του, ο ασθενής θυμήθηκε το περιστατικό πριν την σύλληψή του. H σύντροφος που είχε τότε του έδωσε την ποσότητα της κάνναβης μέσα σε ένα μπαλόνι.
Εκείνος για να κρύψει την ουσία και να τη μεταφέρει, την έβαλε στο δεξί του ρουθούνι, αλλά τελικά κατέληξε να μην θυμάται τι απέγινε αφού μεγάλο τμήμα της ποσότητας αυτής το εισέπνευσε.
Στη συνέχεια το ξέχασε παρά το γεγονός ότι υπέφερε από προβλήματα στην εισπνοή.
Ο άνθρωπος αναπνέει πλέον ευκολότερα αφού υποβλήθηκε σε επέμβαση.
source: huffpost


0